Aller au contenu

Messages recommandés

Posté

Bonjour à tous,

J'ai pris l'habitude d'imager en binning 2 avec la ST8300 sur C11 avec réducteur de focale, soit 1,25" par pixel.

Pour les poses couleurs, le binning 3x3 suffit largement, Iris s'en sort très bien pour l'image composite.

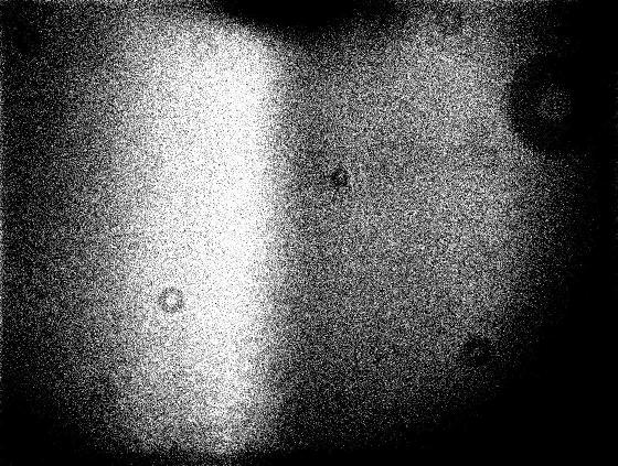
Là ou ça se corse, c'est que les flats en bin3 sont vraiment bizarres :

 

11719-1385910920.jpg

 

à comparer au même flat en bin2 :

11719-1385910837.jpg

 

En bin3, il y a une bande foncée (verticale au centre) à côté d'une bande claire. Au traitement, ces bandes ressortent en négatif sur l'image alors qu'elles ne sont pas sur les brutes. La boite à flats n'y est pour rien puisque les flats en bin2 sont bons. Encore que je me pose la question de savoir s'il sont vraiment bons ?

On peut contourner le problème en redimensionnant les flats bin2 en bin3 ou par retrait du gradient, mais c'est un pis aller.

 

Accessoirement, je suppose que la collim est dans les choux.

 

Vous en pensez quoi ?

Posté

Je n'ai pas souvenir si le 8300 possede un obturateur (?)

 

Si oui le problème pourrait venir de là si la pose flat est trop courte. C'est simple : tu réduis la luminosité de la boite et tu rallonges la pose flat.

 

C'est une piste... mais j'avoue jamais avoir utilisé le bin3 avec mes CCD, donc aucune expérience.

Posté
Je n'ai pas souvenir si le 8300 possede un obturateur (?)

 

Si oui le problème pourrait venir de là si la pose flat est trop courte. C'est simple : tu réduis la luminosité de la boite et tu rallonges la pose flat.

 

C'est une piste... mais j'avoue jamais avoir utilisé le bin3 avec mes CCD, donc aucune expérience.

 

Il y a bien un obturateur mécanique, mais les poses sont très courtes. Donc piste intéressante, je vais essayer de baisser la luminosité.

A même température bien sûr.

Lumineux Christian ! :)

Posté

Ah, Ok, c'est surement la cause. Pour bien et selon quelques recos il faut poser 1 ou 2 secondes avec un obturateur (Ici je fais de flats de 3 à 6 secondes selon les cas).

 

La temperature n'a pas vraiment d'impact, cela m'étonnerait que le bruit thermique puisse se manisfester avec des poses aussi courtes, surtout face au RSB d'un flat.

 

Mais bon, on peut demander un avis aux specialistes bruiteurs.

Posté

je pense aussi pour l'obturateur.

Après c'est vrai que c'est tout de même bisard car l'obturateur des SBIG son en hélice dite obturateurs à gradient nul. Mais bon c'est pas impossbile que ce sois ça vu qu'en bin 3 tu dois encore moins exposer qu'en bin 2 et qu'il fautpenser au temps d'ouverture de cet obturateur.

Posté

Alors un petit essai avec le filtre Ha et des poses de 4 sec au lieu d'une fraction et c'est tout bon.

C'est donc l'obturateur qui est en cause : effectivement en hélice, il doit tourner d'un demi tour avec une accélération puis un freinage donc une vitesse irrégulière et l'effet observé.

 

Bien vu les amis !

Rejoignez la conversation !

Vous pouvez répondre maintenant et vous inscrire plus tard. Si vous avez un compte, connectez-vous pour poster avec votre compte.

Invité
Répondre à ce sujet…

×   Collé en tant que texte enrichi.   Coller en tant que texte brut à la place

  Seulement 75 émoticônes maximum sont autorisées.

×   Votre lien a été automatiquement intégré.   Afficher plutôt comme un lien

×   Votre contenu précédent a été rétabli.   Vider l’éditeur

×   Vous ne pouvez pas directement coller des images. Envoyez-les depuis votre ordinateur ou insérez-les depuis une URL.

  • En ligne récemment   0 membre est en ligne

    • Aucun utilisateur enregistré regarde cette page.
×
×
  • Créer...

Information importante

Nous avons placé des cookies sur votre appareil pour aider à améliorer ce site. Vous pouvez choisir d’ajuster vos paramètres de cookie, sinon nous supposerons que vous êtes d’accord pour continuer.