Aller au contenu

Messages recommandés

Posté

Bonsoir,

Ce n'est pas le premier pas de l'homme sur Mars , mais l'oxydation d'une rondelle qui donne par le plus  pur des  hasards cette forme de pas.

Vue au microscope 100 X 

spacer.png

  • J'aime 5
  • 5 mois plus tard...
Posté (modifié)

Bonjour, voici 2 images de microparticules en Lumière polarisée à 100 X , il s'agit en partie de micro minéraux 

         spacer.png

spacer.png

Modifié par charles43
Ajout
Posté (modifié)

Bonsoir,

Il est très difficile de mettre un nom sur des minéraux aussi petits et orientés de façon aléatoire . 

C'est ce que l'on trouve sur notre voiture quand elle est sale ........

Modifié par charles43
  • 10 mois plus tard...
Posté (modifié)

Bonsoir ,

Maintenant que l'on parle du premier vol de l'hélicoptère sur Mars j'en profite pour poster une photo microscopique d'une hélice d'érable

grossissement 40X  

Cette hélice permet à la graine de voyager à distance au grès du vent, belle invention de la nature .spacer.png

 

Modifié par charles43
  • J'aime 1
Posté

Très Sympa !

Tiens pendant qu'on parle de microscopie, voici un petit pot-pourri avec mon petit Leica Laborlux et fond noir bricolé.

 

Une diatomée trouvée dans une mare d'eau : objectif Nikon Plan Apo 40x/0.95 et éclairage oblique, caméra CCD astro N&B

image.png.6b7bb602bcc82d2abc2870cb11816a4c.png

 

 

Des algues récupérées dans une mare d'eau : objectif Nikon Plan Apo 40x/0.95, Sony A7S

On voit bien les cellules et leur noyau.

image.thumb.png.6499542833cec225c4ab0089ce19533e.png

 

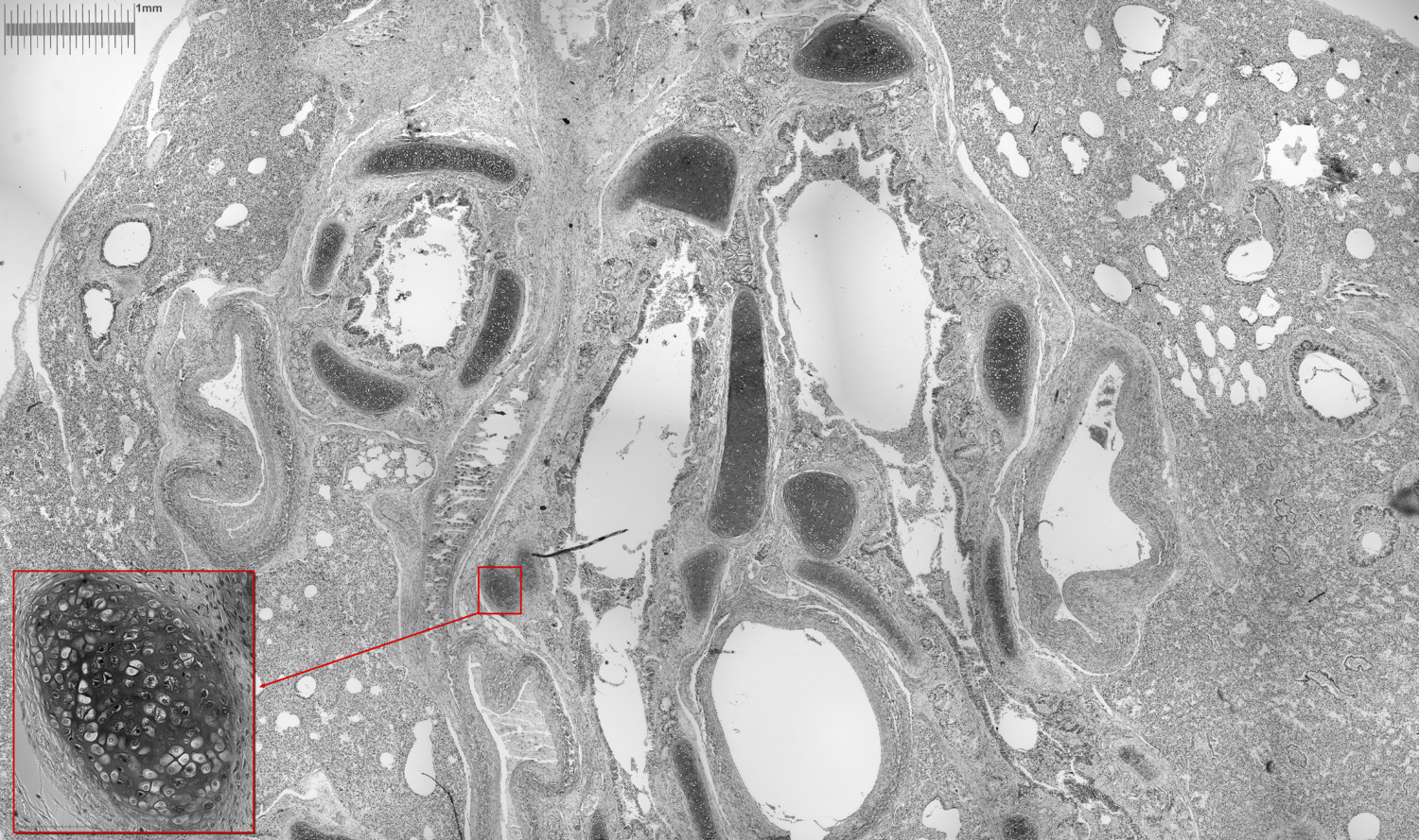
Une lame récupérée dans un labo de biologie, c'est une coupe de tissu humain : objectif Letz Leica Plan 4x, Sony A7S

image.thumb.png.f296355e76ecdd377a38c757692a0e70.png

 

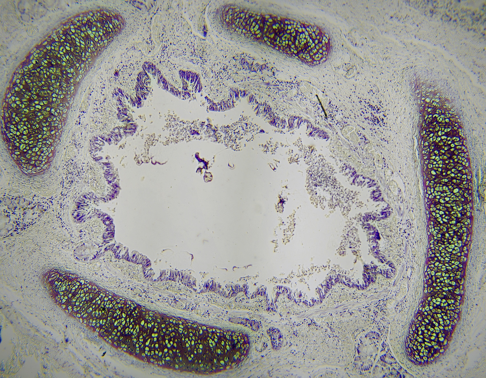
On zoome dans l'image avec Leitz Plan 20x :

image.thumb.png.39996eb2123a768ff50adb93c36d5d2a.png

 

On zoome encore avec le Nikon Plan APO 40x/0.95 : on commence à bien voir les cellules humaines et leur noyau !

image.thumb.png.ded570a1f6a1ccfebc4b7f1200eb35e1.png

 

Et enfin la même avec une caméra astro N& avec l'échelle à côté :) 

Un noyau de cellule mesure 5µ de diamètre !

image.thumb.png.c4fed413520e668e9dbca636ecce2b1d.png

 

  • J'aime 4
Posté (modifié)

spacer.pngBonsoir,

une petite sphère trouvée sur la plage d'Ostende ,micrométéorite ?

Grossissement 100X

 

 

 

Modifié par charles43
  • J'aime 2
  • 4 mois plus tard...
Posté (modifié)

spacer.pngspacer.pngBonjour, 

spacer.png

Bonjour ,

Les trois photos microscopiques sont pour les deux premières les étamines de la fleurs du pétunia prisent à 400X 

La troisième est celle d'un pétale de la même fleur grossissement 100X 

J'ai posté les images d'abord ......

Modifié par charles43
Ajout
  • J'aime 1
Posté

Bonjour,

J'ignore le nom de cette plante , j'ai fait la photo microscopique à 100X d'un  pétale de fleur quand j 'ai le nom je le posterai . spacer.pngspacer.png

  • J'aime 3
Posté

Tu devrais télécharger PlantNet : c'est gratos, avec une simple photo on récupère les déterminations qui peuvent correspondre. Et ça marche assez bien !

  • J'aime 1
Posté (modifié)

Merci Pyrene  c'est un Salvia Microphylla Kunth ils indiquent peut être, mais d'après mon épouse c'est cela .  

chouette site pour les identifications .

Modifié par charles43
Posté
Il y a 8 heures, Pyrene a dit :

Tu devrais télécharger PlantNet

 

Je confirme :) 

Diabolique de précision et très utile en rando.

Mais il faut du réseau...

Posté (modifié)

spacer.pngBonjour, 

Très pratique ce programme 

Voici une autre fleur la Gaillardia  Aristata , le pétale est agrandi 40X.spacer.png le pétale est agrandi 40X  .

Modifié par charles43
  • J'aime 2
  • 2 semaines plus tard...
Posté (modifié)

Bonsoir,

Autre fleur celle du pélargonium (géranium) le pétale est grossi 100 X 

La vidéo du pistilspacer.pngspacer.png montre  les micro organismes qui participent à la pollinisation, ils se trouvent dans des protubérances nommées stigmates 

qui se trouvent sur le pistil . GROSSISSEMENT  400X 

 

Modifié par charles43
  • J'aime 1
Posté

Bonjour @charles43

Les Pelargonium ne sont pas des Geranium il s'agit de plantes distinctes : mes Pelargonium viennent d'Afrique, comme tous leurs collègues, et entrent en végétation en hiver (été austral), ce qui m'oblige à les cultiver sous serre et à les chauffer (un peu) et les éclairer (beaucoup). J'ai aussi des Geranium, au jardin, et j'en arrache parfois quand comme Geranium roberti ce sont des herbes envahissante.

Le nom des Pelargonium leur vient de leurs graines qui sont allongées comme un bec de cigogne (Pelargos).

 

  • J'aime 1
Posté

Bonsoir,

Tout a fait d'accord avec toi Pyrene  pélargonium est le nom de la plante,  les connaisseurs le savent  

Merci pour ces précisions

  • 2 semaines plus tard...
Posté

Bonsoir ,

J'ai du Colza qui  fleuri sur ma terrasse à cette époque tardive , j'en ai profité pour faire une photo du pollen  avec le microscope à 100X  de grossissement spacer.png .

Je suppose Pyrene que tes Pélargoniums sont déjà dans ta serre , les miens je ne peut les  rentrer il risque de geler si l'hivers est rude .....

 

 

  • J'aime 1
Posté

Oui en effet, tout est rentré. Les Pelargo ne sont pas parmi les plus fragiles, loin de là, mais effectivement un gel prolongé ferait des dégâts.

Posté (modifié)

spacer.pngspacer.pngBonsoir 

Les Chrysanthèmes sont des fleurs prisées en automne on en voit de toutes les couleurs, certains en  font une passion et les cultivent  ou créent 

de nouvelles variétés 

Voici  une variété courante plus le pétale à 100X de grossissement .

Modifié par charles43
  • J'aime 3
  • 2 semaines plus tard...
Posté (modifié)

spacer.pngspacer.pngBonjour ,

Nous voici en décembre c'est le mois  ou fleurissent les plantes du genre Schlumbergera  .

Voici une photo d'une  fleur ,et au microscope 100X une étamine et son pollen 

 

Modifié par charles43
  • J'aime 4
Posté

Bonjour,

Vraiment sympa toutes ces image 👍

J'ai acheté ceci qui grossi à x20 et x40 https://www.bresser.de/fr/Microscopie/BRESSER-Biorit-ICD-20x-Stereomicroscope.html?mtm_campaign=Google_Shopping&mtm_kwd=5802500&mtm_source=French&mtm_medium=CPC&mtm_cid=France&mtm_group=PLA&gclid=EAIaIQobChMIgMzX3__C9AIVAevtCh0yRwJgEAQYCCABEgJUHPD_BwE

il y a 3 ans environ et je vois de belle choses.

C'est vraiment un autre monde "étonnant" de voir, par exemple, des grains de poussières énormes !!!  là ou j'étais sûr qu'il n'y avait rien (dans ma montre automatique par exemple et entre autre)
Bon ciel . . . enfin plutôt . . . bon grossissement :)

Franck

Posté (modifié)

Bonsoir

Comme tu le dis fdudu c'est un autre monde

Ton microscope   20 X  ET 40X me semble adapté pour regarder les minéraux les pièces ,les timbres et aussi les insectes voir les gros protozoaires dans une goute d'eau 40X les  Bressers  sont de bons microscopes .                                                                                                                                                                                                             J'ai également un Bresser avec  prise USB  et écran digital il a 11 ans et il commence  a avoir des problèmes au niveau du fil d'alimentation.

 en plus il a fait une chute .... mais  il donne encore des images , il est vrai je l'ai énormément utilisé  

J' ai acheté deux filtres polarisants pour regarder en LPA  cela ne vaut pas un vrai microscope LPA mais on se débrouille 

Avec ton microscope cela pourrait  fonctionner tu pourrais observer en lumière polarisante .

Bon ciel à toi aussi 

 

 

 

Modifié par charles43
  • J'aime 1
Posté (modifié)

Bonjour, 

Après cette années riche en informations sur l'astronomie, afin d'équiper au mieux ma fille, je dois me résoudre à admettre sans grande surprise, que l'attrait n'est pas la. Mais curieusement, cette incursion furtive dans l'infiniment grand a susciter cher moi un intérêt nouveau, envers l'infiniment petit. Sensation etrange....🙃

Bref, j'ai voulu voir si cette envie pouvait être en partie assouvie à moindre coût, et j'ai acheté ceci:

https://www.amazon.fr/gp/aw/d/B081F64YLB?psc=1&ref=ppx_pop_mob_b_asin_title

J'ignore ce que j'attendais vraiment en l'achetant, mais un premier essai rapide après son déballage, me laisse espérer des performances honorables. 

J'ignore si on peu qualifier cet Instrument de microscope? Pas sûr... Ceci étant, si c'est un piètre microscope, c'est une excellente et puissante loupe qui vaut largement ses 50 petits euros ! Petit bemol: la plage de grossissement (x1000 annoncé) ne semble pas exploitable dans son intégralité. Le dernier tiers de la course de la molette rend la mise au point impossible. De plus, je n'ai pas l'impression d'avoir un grossissement avoisinant les 500x à mi-course. 

Je vais essayer de prendre le temps de faire joujou avec ce week-end, et je posterai ici quelques clichés. 

@+...

 

Modifié par Opto & G6K
  • J'aime 1
Posté
Il y a 2 heures, Opto & G6K a dit :

je posterai ici quelques clichés

Bonjour et merci Opto & G6K, impatient de voir ce que ça donne niveau qualité de l'image et connectique sur PC entre autre . . .

Posté (modifié)

Bonsoir ,

Bienvenue Opto & G6K  , je pense que pour 5O Euros tu peux avoir un résultat  pas trop mal .

Je lis que tu as du mal à atteindre 1000X de grossissement  c'est tout a fait normal cela est probablement un grossissement électronique 

Pour mon microscope il fait marqué grossit 2OOO fois , mais il s'agit du grossissement d'une image de base , en réalité il a des oculaires

de 40X 100X et 400X et le reste est un agrandissement électronique qui devient vite imbuvable .....

Je pense que tu dois avoir un grossissement de base avec une image nette, c'est celle là qui doit être  chargée sur ton PC 

Ton instrument doit te permettre de voir des timbres des pièces des insectes des minéraux et pourquoi pas des micro organismes à partir de 

'40X   tu peux grossir plus, mais il faut que l'image reste la plus nette possible .

Comme Fdudu j' attend avec impatience ce que ça donne  .

 

 

Modifié par charles43
Posté (modifié)

J'ai vu quelques images sur AMAZON avec le type de microscope que tu as ,les images sont nettes et très belles 

C'est un instrument parfait pour faire des images macros d'insectes de papillons de fleurs  et  pleins d'autres choses 

cela peut être très chouette .

 

Modifié par charles43

Rejoignez la conversation !

Vous pouvez répondre maintenant et vous inscrire plus tard. Si vous avez un compte, connectez-vous pour poster avec votre compte.

Invité
Répondre à ce sujet…

×   Collé en tant que texte enrichi.   Coller en tant que texte brut à la place

  Seulement 75 émoticônes maximum sont autorisées.

×   Votre lien a été automatiquement intégré.   Afficher plutôt comme un lien

×   Votre contenu précédent a été rétabli.   Vider l’éditeur

×   Vous ne pouvez pas directement coller des images. Envoyez-les depuis votre ordinateur ou insérez-les depuis une URL.

  • En ligne récemment   0 membre est en ligne

    • Aucun utilisateur enregistré regarde cette page.
×
×
  • Créer...

Information importante

Nous avons placé des cookies sur votre appareil pour aider à améliorer ce site. Vous pouvez choisir d’ajuster vos paramètres de cookie, sinon nous supposerons que vous êtes d’accord pour continuer.